近日,华人色情
急诊医学部急诊外科袁勇专家团队通过一次手术成功为一名双侧股骨头坏死、双侧髋关节骨性关节炎的患者完成了双侧的髋关节置换。术后患者恢复良好,双侧人工髋关节位置良好,术后第3天患者即可下地部分负重行走。
患者为一名28岁的彝族小伙,入院治疗前因长期酗酒已有长期的双侧髋关节疼痛、活动受限的病史。近4个月以来,患者的疼痛逐渐加重,行走困难,已经严重影响到患者的日常生活和工作,遂来到华人色情 专家门诊寻求救治。
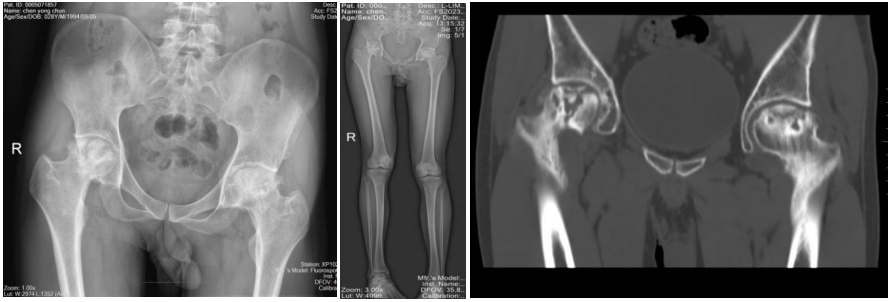
刚入院时,患者在进行主动活动时,双侧髋关节疼痛剧烈,感到十分痛苦。查体可见其双下肢不等长,右下肢较左下肢短缩约3cm,双侧髋关节被动活动时可感受到明显的抵抗。袁勇专家团队接诊后,立即完善了X线、CT及核磁等检查,发现患者双侧股骨头已缺血性坏死,并且因常年的磨损已导致双侧髋关节骨性关节炎的发生,股骨头骨质增生、硬化,致双侧髋关节僵硬

由于患者年仅28岁,全髋关节置换是髋部疾患的终末治疗手段,是否为如此年轻的患者施行手术?是对一侧髋关节还是双侧髋关节同时施行手术?急诊外科全体医护人员高度重视,袁勇专家团队详尽地讨论了手术的方案,最终决定通过一次手术帮助患者完成双侧的髋关节置换,同时要纠正患者双下肢不等长的畸形。
术中采用平卧位DAA(前侧微创)入路进行全髋关节置换。此方案的优势在于整个手术过程只需一次消毒、铺巾即可完成双侧的手术部位的准备工作,而且术中无需变换体位,大量节省了手术时长,减少患者麻醉的时间,降低了麻醉的风险,也大大降低了术后手术切口感染的风险。
手术的过程中,袁勇专家团队结扎了旋股外侧动脉升支及其伴行的静脉,术中精细止血后出血量少,术中无需放置引流管,手术切口采用美容缝合,术后患者避免了拔除引流管的痛苦,更替患者解决了在出院后还要返院拆线的苦恼。同时患者在术后很短的时间内即可下地部分负重行走进行早期的功能锻炼,避免长期卧床带来的血栓、肺部感染、褥疮等术后并发症的发生。

患者术后复查双侧髋关节假体位置良好,双下肢已恢复到同一长度,得以重新自由地行走。此次手术的顺利完成,充分体现了急诊医学部急诊外科医护团队积极探索,勇于创新的进取精神,更展示了对待患者病痛时的细心、耐心和专业的诊疗水平。今后,急诊医学部急诊外科将不断探索和学习,优化诊疗流程,为人民群众的生命健康、生存质量继续保驾护航。
文图:急诊医学部急诊外科