近日,华人色情 重症医学科联合呼吸与危重症医学科二病区使用体外膜肺(ECMO)治疗,成功挽回了一名生命垂危的重症肺炎、重度ARDS患者的年轻生命。出院前,患者及家属恳切地表达了对医护人员的感激之情:“衷心感谢医院的每一位医护人员,是你们给了我第二次生命,你们辛苦了。”

疾病来袭,健康之躯难抵暗流汹涌
患者王某,36岁女性,因“发热、咳嗽、咳痰6天”,于3月16日入住医院呼吸与危重症医学科二病区。经纤维支气管镜、宏基因测序等检查,次日确诊为重症支原体肺炎。尽管接受了积极治疗,患者病情仍持续恶化,出现呼吸困难、高热不退、氧合下降等症状。3月18日,经会诊后转入重症医学科(MICU)。
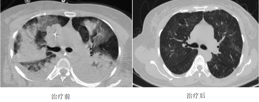
此时,患者生命垂危,医护团队立即采取抗感染、肺保护性机械通气、镇静镇痛、纤支镜、抗炎、俯卧位通气等一系列治疗措施。然而,患者病情未见缓解,血压和氧合难以维持,在呼吸机纯氧模式下,氧饱和度仅能维持在80%左右。CT显示双肺已呈“白肺”,随时可能出现心跳、呼吸骤停,生命危在旦夕。

紧急启航,ECMO接力生命救援
面对如此凶险的病情,3月20日医院重症医学科、呼吸与危重症医学科二病区专家团队进行了疑难病例讨论,评估病情后一致认为,患者具有静脉-静脉体外膜肺氧合(VV-ECMO)指征。在与家属充分沟通病情并征得同意后,重症医学科ECMO团队迅速集结,争分夺秒为患者建立ECMO体外循环。随着暗红色的血液从患者体内引出,经过膜肺氧合后变成鲜红色回输体内,患者的氧合指标逐渐改善,生命体征趋于平稳。
艰难跋涉,精心救治迎来曙光
在ECMO的支持下,患者的肺部得到了宝贵的休息与治疗时间。俯卧位通气、肠内营养、免疫调理、早期康复、院感防控等一系列治疗措施有条不紊地展开。在万林骏教授、万晓红主任的指导下,ICU医护团队分工明确,24小时床旁监测,根据患者情况动态、个体化调整救治方案。

经过7天的ECMO及综合救治,患者肺部功能明显改善,成功撤离ECMO。2天后,患者顺利脱机拔管。当患者说出“好喘多了”时,医护人员的所有努力都得到了回报。4月1日,患者从重症医学科转回呼吸与危重症医学科二病区,并于4月8日康复出院。
该名患者的成功救治,充分体现出华人色情 联合诊疗能力及重症医学科危急重症患者综合救治能力,彰显了医护人员捍卫生命的责任与担当。每一次在生死边缘的力挽狂澜,都是用专业与爱心铸就生命的守护堡垒,更是医者仁心的生动诠释。华人色情 全体医护人员将不断努力,全力守护人民群众的生命健康。
文图:重症医学科